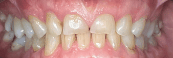
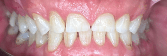
Bent u niet tevreden met de kleur van uw tanden? Dan kan professioneel tanden bleken een veilige en effectieve oplossing zijn. Bij Tandartspraktijk Het Oude Dorp werken we met de bewezen Philips Zoom! Whitening-methode: een gecontroleerde, klinische behandeling die uw tanden zichtbaar lichter maakt in korte tijd.

Tandverkleuring kan verschillende oorzaken hebben, zoals:
veelvuldig gebruik van thee, koffie, cola en rode wijn
roken
ouder worden
bepaalde medicijnen (zoals sommige antibiotica, bijvoorbeeld tetracycline)
overmatige fluoride-inname tijdens de tandontwikkeling
verouderde vullingen of een trauma aan de tand
Tijdens het consult beoordelen we of uw type verkleuring geschikt is om te bleken met Philips Zoom!
Tanden bleken is geschikt voor de meeste volwassenen. Tijdens het vooronderzoek beoordeelt de tandarts of u veilig gebleekt kunt worden.
Bleken met Philips Zoom! is niet geschikt voor:
patiënten jonger dan 18 jaar
mensen die gevoelig zijn voor licht
patiënten die worden behandeld met UVA/psoraleen of fotochemotherapie
mensen met melanomen
patiënten die medicatie gebruiken die lichtgevoeligheid veroorzaakt
personen met onbehandelde gaatjes of tandvleesontstekingen (dit moet eerst worden behandeld)
Bij twijfel adviseren we altijd vooraf uw (huis)arts te raadplegen.
De Zoom!-behandeling is over het algemeen pijnloos. Wel kan er:
tijdelijke gevoeligheid ontstaan voor koude of warmte
Dit is onschuldig en trekt meestal binnen enkele dagen volledig weg. Als u gevoelige tanden heeft, kan de tandarts dit vooraf met u bespreken en eventueel extra maatregelen adviseren.
Gedurende 48 uur na de behandeling is het belangrijk dat u:
geen kleurstoffen in eten of drinken gebruikt (bijvoorbeeld koffie, thee, rode wijn, cola, curry, sojasaus)
niet rookt
voorzichtig bent met zeer warme en zeer koude dranken bij gevoeligheid
U ontvangt duidelijke mondelinge en schriftelijke nazorginstructies, zodat u precies weet wat u wel en niet kunt doen.
Het resultaat verschilt per persoon, maar gemiddeld worden tanden:
1 tot 6 tinten lichter met de praktijkbehandeling
soms zelfs tot 8–9 tinten lichter in combinatie met de Zoom!-lamp en thuis-na-bleken
Het uiteindelijke resultaat hangt af van:
de oorspronkelijke tandkleur
de tandstructuur
uw voedings- en rookgewoonten
hoe goed u de nableekinstructies opvolgt
Met goed onderhoud (poetsen, stoken, regelmatig controle en af en toe een touch-up) blijft uw gebit langdurig lichter.
De risico’s bij professioneel bleken met Philips Zoom! zijn klein. Mogelijke bijwerkingen zijn:
tijdelijke gevoeligheid van tanden
een tandkleur die minder sterk oplicht dan u had verwacht
in zeldzame gevallen een blijvende lichte gevoeligheid
Uitgebreid onderzoek toont aan dat bleken met Zoom! onder toezicht van een tandarts veilig is voor tanden en tandvlees.
Het actieve ingrediënt in de Zoom!-gel is waterstofperoxide. Tijdens het bleekproces:
komt zuurstof vrij
dringt deze zuurstof diep door in het glazuur en tandbeen
worden verkleurde kleurmoleculen afgebroken
blijft de structuur van de tand intact
De speciale Philips Zoom!-lamp activeert en versnelt dit proces, waardoor de effectiviteit met ongeveer 35% of meer wordt verhoogd.
Ja. Philips Zoom! Whitening is één van de meest onderzochte professionele bleekmethoden. Tijdens de behandeling:
worden lippen, tandvlees en huid zorgvuldig afgeschermd
draagt u een speciale beschermbril
houdt de tandarts continu toezicht op het verloop van de behandeling
Bleken is veilig, mits het wordt uitgevoerd door een professional en er vooraf een goede mondonderzoek heeft plaatsgevonden.
De kosten voor de volledige Zoom!-behandeling in onze praktijk bedragen op dit moment:
€ 350,-
Dit bedrag kan afwijken bij wijzigingen in landelijke codes of saneringsvormen. Tijdens het consult krijgt u:
een duidelijke kostenopgave
uitleg over wat er precies binnen het bedrag valt
Een professionele bleekbehandeling met Philips Zoom! bij Tandartspraktijk Het Oude Dorp verloopt in duidelijke stappen. Van een eerste consult en digitale scan tot de daadwerkelijke Zoom!-behandeling en nazorg. Hieronder leest u precies wat u kunt verwachten.
Tijdens uw eerste afspraak krijgt u uitgebreide uitleg over het bleekproces en beoordelen we of tanden bleken voor u geschikt is. We bekijken:
de huidige kleur van uw tanden
eventuele gevoeligheden
uw algemene mondgezondheid (bleken is niet mogelijk bij ontstekingen of gaatjes)
Daarnaast maken we:
een 3D-scan van uw gebit, waarmee in het laboratorium uw persoonlijke bleekmallen worden vervaardigd voor het thuis-na-bleken
Tip:
We adviseren om vooraf een professionele gebitsreiniging te laten uitvoeren. Dit verbetert het resultaat en voorkomt dat aanslag het bleekeffect belemmert.
De daadwerkelijke bleekbehandeling in de praktijk duurt in totaal ongeveer twee uur. De behandeling verloopt als volgt:
voorbereiding en bescherming van tandvlees, lippen en omliggende weefsels
aanbrengen van de Zoom! Whitening-gel
ongeveer één uur bleken onder de speciale Philips Zoom!-lamp
instructies voor het thuis-na-bleken met uw persoonlijke bleekmallen
Tijdens het bleken kunt u gewoon ontspannen: veel patiënten luisteren muziek of dommelen even weg.
Na de praktijkbehandeling gebruikt u thuis uw:
op maat gemaakte bleekmallen
met de voorgeschreven bleekgel volgens de instructies van uw tandarts
Zo kan het resultaat verder worden versterkt en langer behouden blijven.
Gedurende de gehele bleekperiode – zowel tijdens de behandeling in de praktijk als tijdens het thuis-na-bleken – geldt:
geen producten met kleurstoffen gebruiken, zoals koffie, thee, rode wijn, cola, curry, sojasaus en tabak
Na de behandeling adviseren we gedurende minstens 48 uur:
geen kleurstoffen in eten of drinken
niet roken
voorzichtig zijn met zeer warme en koude dranken bij gevoeligheid
U ontvangt duidelijke nazorginstructies, zodat u weet waar u op moet letten.



